Why Your Gum Line Recedes

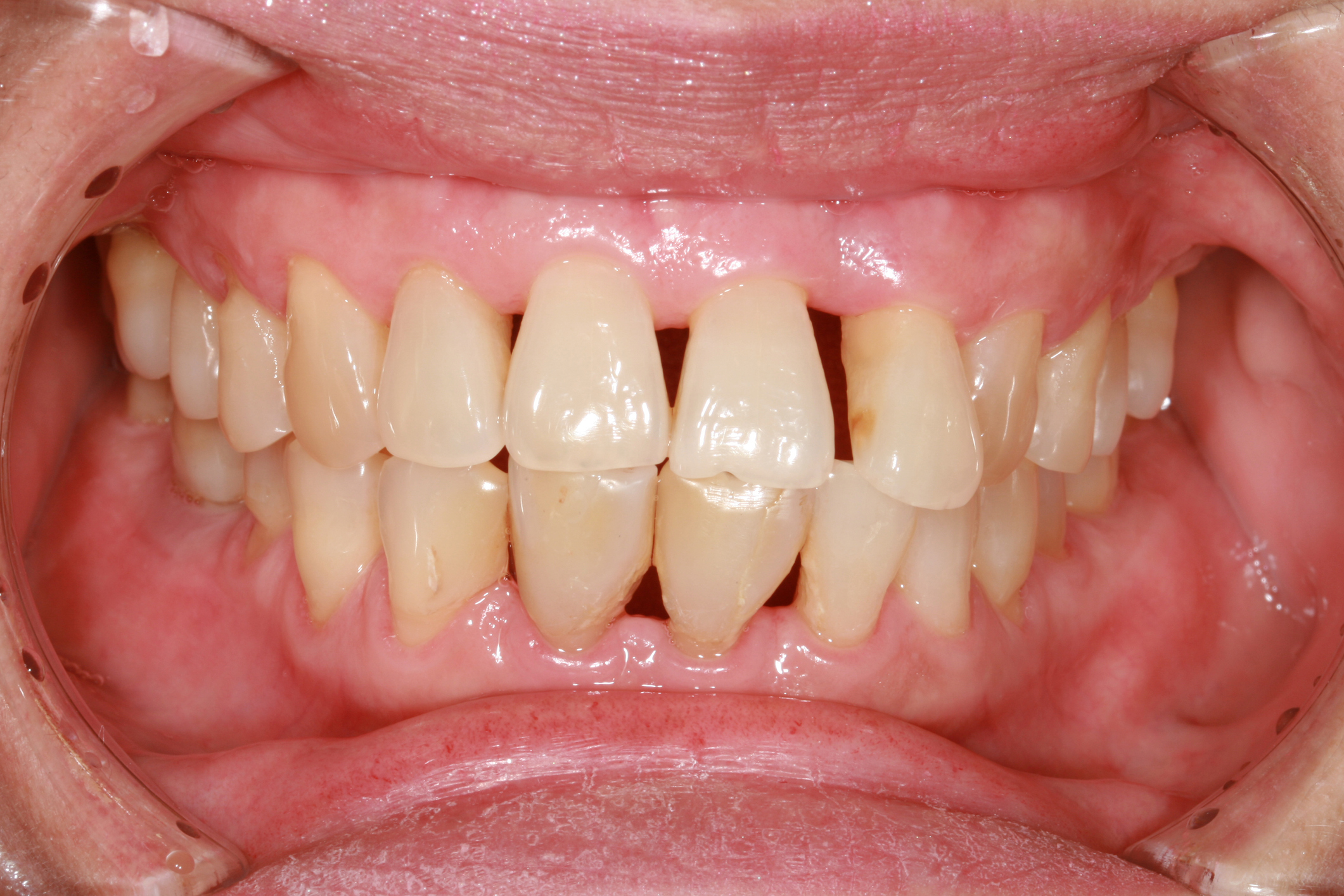
Gum recession.
How is your gum health? About half of all people over 30 suffer from periodontal disease, and this is the leading cause of gum recession. Gum recession is a problem, because when your gums recede too far, they can allow your teeth to fall out! Further, receding gums create pockets between the teeth and gums, and this can allow bacteria to grow and cause infections. In this way, even if your gum recession is not caused by periodontal disease, it can create an ideal environment for periodontal disease to progress. Once gums have receded, they don’t grow back, but there are some strategies you can employ to slow the recession. First, you need to know what is causing your gum line to recede.
- As mentioned, periodontal disease is a major cause of receding gums. The bacterial gum infections of periodontal disease can destroy not only gum tissue, but also the bone that holds the teeth in place. Catching periodontal disease in the early stage, called gingivitis, when the gums are simply inflamed, can help forestall its progression.
- It could be your genes. Sometimes, genetics just don’t work in your favor when it comes to your gums. About 30 percent of people have receding gums, leading to periodontal disease, no matter how well they care for their teeth.
- You might not be taking good care of your teeth. Poor oral hygiene can lead to tartar build-up, and when this happens, it can cause your gums to recede.
- On the other hand, you might be brushing too enthusiastically. Aggressive brushing can wear away your enamel and damage your gum tissue.
- Your teeth may be crooked. Believe it or not, misaligned teeth can wear on your gums. Teeth that don’t come together properly put too much force on the gums, causing them to recede.
- It might be hormones. Hormonal fluctuations, like the ones experienced during puberty, pregnancy, or menopause, can cause your gums to recede.
- Mouth trauma can damage your gums. If you get punched in the mouth or fall on your face, your teeth can be knocked loose, and your gums can sustain damage that causes recession.
- Your orthodontia may be the issue. It makes sense that using constant force to reposition your teeth could cause your gums to become inflamed and recede.
- If you grind your teeth, your gums might recede. In fact, receding gums may be your first warning sign that you grind your teeth at night.
- Tobacco use can lead to receding gums. Smoking and chewing tobacco are bad for your oral health in such a variety of ways that if you use tobacco, you really need to stop.
You might notice your gums receding, or you might notice some other warning signs. Your teeth may become sensitive to heat, cold, and sweets, or they may be sensitive when you’re brushing, flossing, or getting dental cleanings. You may also experience pain or discomfort near the gum line. Without treatment, gum recession could cause your teeth to feel loose. Fortunately, while receding gums won’t grow back, your dentist can help you slow the recession, as well as offering non-surgical and surgical treatments to improve the condition.
When you’re looking for a dentist to help with your teeth and gums, trust the dentist voted best in New York. At Park 56 Dental Group, we offer pediatric, prosthodontics, endodontics, oral surgery, Invisalign®, emergency, and sedation dentistry, all at the highest level of treatment. We serve the Midtown, Central Park, Upper East Side, Park Avenue, and all surrounding Manhattan and New York areas, with a patient-centered practice that has hours to fit your schedule. Schedule your complimentary consultation today by contacting us online or calling us at (212) 826-2322.
RECENT POSTS
categories
- Uncategorized
- Cosmetic Dentistry
- Veneers
- Healthier Teeth
- Teeth Whitening
- Dental Health
- Video
- Dental Emergencies
- Invisalign
- Dental Implants
- Root Canal
- Sedation Dentistry
- Infographic
- Dental Crowns and Bridges
- Dental Anxiety
- Gum Disease
- COVID-19
- Bad Breath
- New York Dentist
- Cut out sugar
- General Dentistry
- Oral Health
- Oral Cancer
- Dry Mouth
- Gum Health
- Toothache
- Dental Sealants
- Cavities


